전체 글 303

대물렌즈 설계 자료

https://www.degruyter.com/search?query=keywordValues%3A%28%22microscope%20objective%22%29%20AND%20journalKey%3A%28%22AOT%22%29&documentTypeFacet=article 지난 해 하반기부터 국책과제로 High NA IR objective lens를 개발하고 있습니다. 이 번달이면 proto가 나올 수 있겠네요. 대물렌즈 설계할 때 참고한 자료인데, 정말 잘 정리되어 있습니다. 이처럼 풍부한 자료는 더 찾기 어렵지 않을까 생각합니다. 이를 Open access로 공개해서 참 고맙지요. 저도 이 자료 보면서 대물렌즈에 대한 이해가 많이 넓어지고 깊어진 것을 알 수 있었습니다. 설계는 CodeV의 glass..

Sites 2022.02.03

이미지 후보정

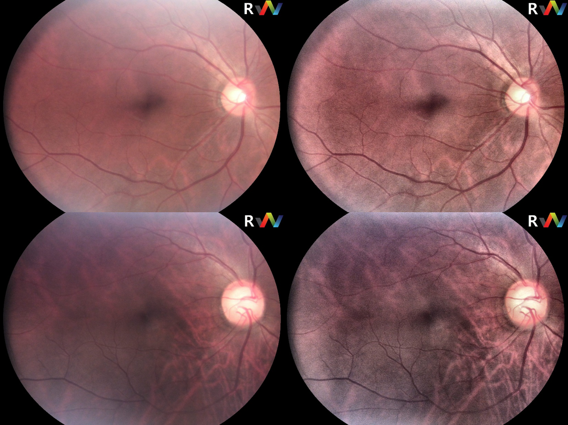
새해 잘 보내고 계시죠? 오늘 소개할 내용은 안저카메라에서 얻은 망막상을 후보정을 통해 개선한 내용에 관한 것입니다. 아래 그림의 왼쪽 사진은 일반적인 수준의 카메라 세팅을 통해서 얻은 망막 이미지이고 오른쪽은 contrast와 sharpness를 보정한 망막이미지입니다. 일반적인 수준에서의 망막이미지는 전체적으로 뿌연 느낌이 납니다. 망막은 여러 층으로 이루어져 있고 각각의 층이 반사를 하고 있기 때문에 혈관상이 깨끗하지 않은 것으로 추측하고 있습니다. 따라서, 대부분의 상용 안저카메라는 이를 개선해서 혈관의 이미지를 선명하게 얻기 위한 후보정을 하는 것으로 보입니다. 저희도 이 부분을 반영하기 위해 앱을 개선하고 있는데, 아래의 오른쪽 그림이 그 결과물입니다. Contrast를 좀 더 줄여야 하지 않..

Eye2you 방문

코로나바이러스로 하늘 길이 막힌 이래 처음으로 eye2you의 CEO일행이 방문했습니다. 저희 안저카메라와 eye2you의 소프트웨어를 결합해서 독일에서 수행중인 연구결과를 자세히 설명해 주셨습니다. 기존 거치식 안저카메라와 비교해서 동등성능인 것을 확인해서 내년에는 보험사에 등록해서 판매를 시작할 예정이라고 합니다. 일반의를 통한 당뇨병성 망막증상이나 망막질환의 진단(스크리닝)에 매우 효과적으로 사용할 수 있을 것으로 기대하고 있습니다. AI 전문업체답게 저희 자체 소프트웨어 보다 좋은 이미지를 취득하고 있어서 반성하고 있습니다. -.- 다음 달에 미진한 부분들에 대해 협업을 하면서 좀 더 좋은 소프트웨어를 만들도록 해야겠네요.

안저카메라 메뉴얼 포커스 가이드

저희 안저카메라가 시장이 나온지 2년정도 지났습니다. 펜데믹 상황에서도 선방하고 있어서 다행입니다. 저희 제품이 가격에서의 장점을 만드느라 오토포커스 기능을 넣지 않았는데, 이 점에 대해 고객으로부터 많은 피드백이 있었습니다. 휴대용이기 때문에 더욱 아쉬운 기능일 수 있습니다. 하지만, 가격도 포기할 수는 없는 문제이기도 했지요. 저희는 완벽한 오토포커스 기능은 아니지만, 초점 위치를 잘 찾아서 좋은 사진을 얻을 수 있는 확률을 높이고자 꽤 많은 노력을 했고 지난 주 이 기능을 완성해서 app store에 올렸습니다. 이렇게 해도 아쉽다는 피드백은 계속 나올 수 있지만, 현재의 조건에서는 최선의 길이 아닌가 싶습니다. 이 기능을 넣기 위해 우리 엔지니어가 많은 노력을 했기도 하고 그 와중에 우리의 실력도..